Skip to main content
Tooth-Colored Fillings
Improve Your Smile and Your Oral Health

We choose tooth-colored fillings because they blend beautifully with your smile and improve your oral health!

Woman smiling in dental exam chair l dentist garland tx
Do You Have a Cavity That Needs a Filling?
Call Us Today

Tooth-Colored Fillings in Garland, TX

Large family outside smiling l dentist in garland txIn modern dentistry, there’s not much difference between services we consider cosmetic and those that are thought of as being restorative. With all the improvements we’ve seen in dental materials over the years, virtually any dental service will enhance your smile.

Dr. Woo Sung Jung is a general dentist who has an eye for aesthetics. If he recommends a dental filling at our Garland, TX dental office to restore tooth decay, you can be confident that the result will be a healthy, beautiful smile!

Finding and Treating Cavities

Even if you are a pro at oral hygiene and brush and floss consciously, you may develop a cavity. But with leading-edge technology like digital x-rays, our dental care team can find decay long before it causes a toothache.

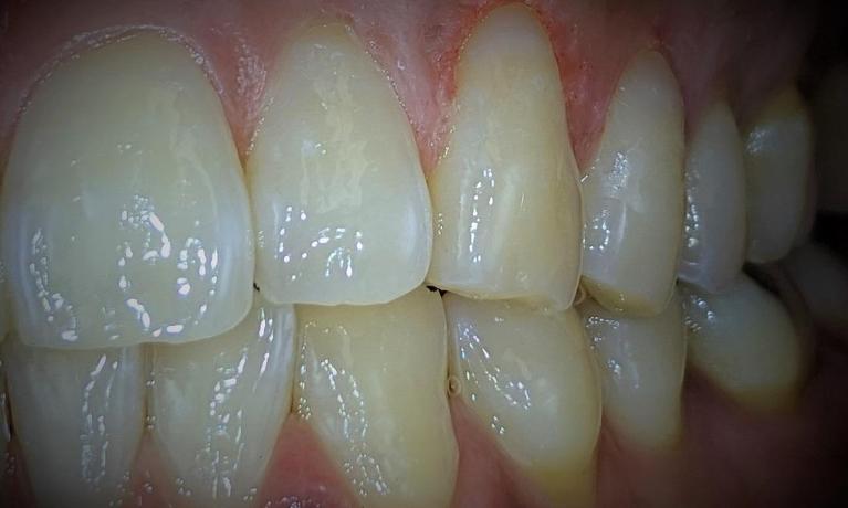
Restoring a cavity when it’s small is a simple process and saves you the discomfort and expense of further damage and the need for more involved treatment. We choose a tooth-colored composite resin that combines glass and resin particles to mimic the appearance of dental enamel.

While the material is in a putty-like state, Dr. Jung expertly builds it up to follow the natural contours of your tooth. When he hardens the composite with a curing light, the result is a seamless repair that is virtually invisible.

Perfect an Imperfect Smile with Bonding

If you have chipped or broken teeth, the solution may be easier than you think. Cosmetic dental bonding uses the same filling material to improve the appearance of your teeth. It’s a simple, affordable solution that has significant benefits.

Many of our patients who thought they needed dental veneers are thrilled to learn there’s an alternative that’s easier on their budget. Dr. Jung uses the same tooth-colored composite material to fill in chipped, broken, cracked, or stained teeth. 

Direct Veneers: An Affordable Cosmetic Solution

Smiling woman with dental instrument l tooth-colored fillings garland txIn some cases, we can use dental bonding to resolve many of the same issues as porcelain veneers. We call these direct veneers because there’s no outside dental lab involved. Instead, Dr. Jung creates the covering directly onto the teeth he’s treating. 

We can achieve similar results to porcelain veneers at a fraction of the cost. Patients also appreciate that we don’t have to alter the structure of the teeth we’re treating as we do when placing lab-fabricated veneers. One thing to take into consideration, though, is that direct veneers will need to be replaced more frequently than veneers.

Schedule a Dental Appointment to Learn More

Do you have a toothache and think it’s a cavity? Would you like to learn more about cosmetic dental bonding and how it could benefit you? 

Call our Garland, TX dental office at (972) 272-3585 to schedule a dental appointment so we can discuss your needs!

Frequently Asked Questions

The total time that a tooth-colored filling takes depends on the severity of the damage and the tooth's location. For example, a small filling in an accessible area of the mouth can take as little as 10 to 20 minutes, while larger fillings can take upwards of an hour to complete.

Patient comfort is our top priority at Garland Grove Dentistry. Dr. Jung will ensure that each patient is numbed and comfortable throughout the procedure.

Why Are Fillings Important?

After the dentist removes the affected area of a tooth, it is important to replace the missing part of the tooth with a material that can protect it from further damage while functioning as a natural part of the tooth.

Getting issues like cavities treated and filled as soon as possible is the best practice to prevent them from growing and causing more damage. 

Tooth-Colored Fillings In Garland, TX

At Garland Grove Dentistry, we are happy to see new patients throughout the Garland, TX area and all outlying locations. If you need a filling or just a checkup to get a better picture of your dental health, contact us today to schedule a time to come in for an examination and consultation.

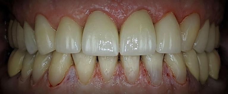
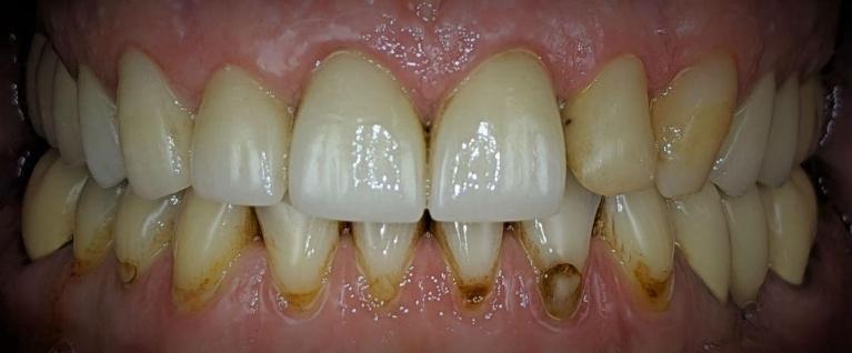
If you have tooth decay, you’d probably prefer a tooth-colored filling in Garland, TX over silver. Tooth-colored fillings blend with your smile and are virtually undetectable.

If you have an area of decay on your tooth, your Garland, TX dentist numbs that location and gently clears away the cavity. Then we seal the tooth with a quality tooth-colored filling.

Tooth-colored fillings are made of composite resin, a combination of safe materials, including plastic, that adheres easily to your teeth. It is durable and lasting, allowing you to enjoy your meals without concern.

Though tooth-colored fillings are excellent for treating cavities, it is better to have no tooth decay at all. The best ways to lower your risks include:

  • Regular dental exams and teeth cleanings twice per year
  • Brushing and flossing at least twice per day
  • Cutting down on sugary and acidic snacks and beverages
  • Never going to sleep with debris on your teeth

The above practices also lower your risks for gum disease, which can put your teeth at risk for loss and even threaten your wellness.

For Tooth-Colored Fillings Near Me, Contact Our Dental Office Today

For more information about tooth-colored fillings, including switching out older silver fillings, contact a member of our helpful staff to get started.

Everyone who’s ever had a toothache knows it’s one of the most uncomfortable physical sensations you can experience. Whether you have throbbing pain or a slight twinge of discomfort, call us for emergency dental treatment in Garland, TX. We’ll get you out of pain and back to enjoying your life in no time at all.

Dental pain can be the result of any one of a number of factors, so the treatment we provide will be tailored to your needs. We understand how frustrating and uncomfortable a toothache can be. Dr. Jung will diagnose your dental issue and provide the high-quality care you need as quickly as possible.

At Garland Grove Dentistry, our caring dental care team puts your needs first. Whether you need emergency dental care or have ongoing issues, we’ll listen carefully to your concerns. We’ll explore all the options available to provide relief and get your oral health back on track.

If you have a toothache in Garland, TX, call us at (972) 272-3585 right away. We’ll get to the source of the problem and recommend dental treatment to resolve your pain and prevent further damage to the tooth.

It is highly unlikely that you will experience pain when getting a dental filling. Thanks to modern anesthetics and gentle techniques, most patients feel little to no discomfort during the procedure.

What Does a Dental Filling Feel Like?

Getting a dental filling is a straightforward and stress-free process that typically requires only one routine visit. Before the treatment begins, your dentist will numb the area completely to prevent pain during the dental filling procedure. Once numb, you might feel pressure or vibration from the dentist’s tools, but no pain. Most fillings take less than an hour and are over before you know it.

After the anesthesia wears off, it’s normal to feel a little sensitivity to pressure or temperature for a day or two. However, this fades quickly with proper care. If you're looking for painless dental fillings in Garland, TX, Dr. Woo Sung Jung and the outstanding Garland Grove Dentistry team use advanced techniques and materials to make the experience as comfortable as possible.

Comfortable, Expert Cavity Fillings in Garland, TX

If you’re looking for a top-quality practice for seamless smile restoration with tooth-colored dental fillings in Garland, TX, Dr. Woo Sung Jung and the outstanding Garland Grove Dentistry team are here to help! Contact us today to schedule a visit and learn how we can quickly, effectively, and efficiently restore your smile to its brilliant best!

Meet Our Doctor:

Dr. Woo Sung Jung, A dentist in Garland, Texas

Dr. Woo Sung Jung

Dr. Woo Sung Jung was born in South Korea and spent his pre-school and kindergarten years in Edinburgh, Scotland. His family then moved to Ames, IA, where he attended elementary school, then returned to South Korea for middle and high school.

Dr. Jung moved back to the US to attend California State University, Long Beach, where he majored in microbiology and lost his Scottish accent. He subsequently attended New York University College of Dentistry for his Doctor of Dental Surgery (DDS) degree. Dr. Jung has studied dental implant placement extensively ...

Featured Blog Posts - Tooth-Colored Fillings

October 30, 2025

Caring for Your Tooth-Colored Fillings: Oral Hygiene Tips for Garland, TX Patients

A man smiling while sitting on a dental chair, showing healthy teeth after receiving dental fillings

Tooth-colored (composite) dental fillings are a popular and natural-looking way to restore damaged teeth. They blend seamlessly and durably into a person’s smile while restoring strength to their bite. Of course, like natural tooth enamel, tooth-colored fillings still require proper care to stay bright and intact. Your dentist will provide you with dental filling care tips to keep your smile healthy and fresh.

At Garland Grove Dentistry, Dr. Woo Sung Jung and our team are dedicated to helping patients make the most of their restorations’ visual appeal and longevity. Here are ...

June 15, 2025

Dental Filling Procedure in Garland, TX: What to Expect During Your Visit

A woman smiling and chatting with her dentist after completing a dental filling procedure.

Are you worried about an upcoming cavity filling? Don’t be!

With modern techniques and compassionate care, dental fillings in Garland, TX, are fast, painless, and effective. Understanding each step of the process can ease anxiety and help you feel comfortable ahead of your visit. Here's what to expect during a dental filling in Garland, TX, from start to finish.

Step-by-Step: What Happens During a Filling Appointment

Here’s a detailed look at what to expect during your visit.

  1. Upon arrival, you’ll receive a quick exam and x-ray to confirm the cavity’s depth.
  2. Then, your Garland dentist ...
Take A Step Toward a Healthy, Beautiful Smile!
Talk to Our Team Now