Garland Grove Dentistry

Dental Bridge

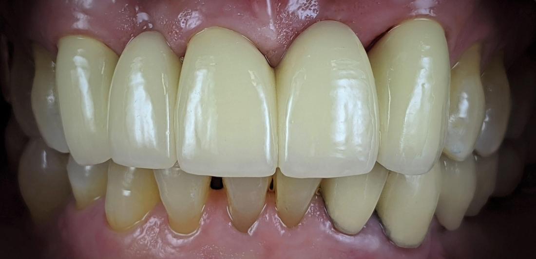
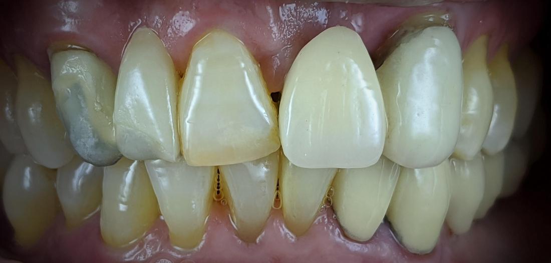
This patient received a custom-made dental bridge to complete their smile. Not only did the dental bridge restore their appearance, but it also helped improve their chewing. 

Related Services:

Crowns & Bridges
Not finding what you need?
If you have difficulty using our website, please email us or call us at (972) 272-3585
View the ADA Accessibility Statement
Privacy Policy