Garland Grove Dentistry

Dental Implant

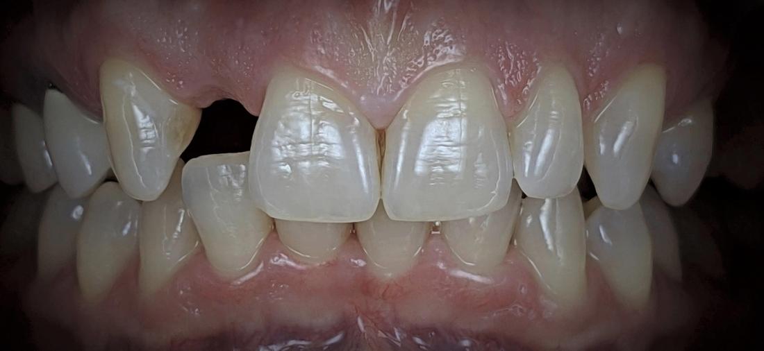
This patient presented with a missing front tooth in their site line. Dr. Jung replaced the missing tooth with a dental implant, the closest option to a natural tooth since it replaces the root and tooth. 

Tooth implants provide the chewing function you had before losing your tooth while also completing the aesthetics of your smile. 

Dr. Jung provides comprehensive implant dentistry from start to finish at our Garland, TX, dental office, so you'll always get to work with the team you know and trust. 

Learn More About Dental Implants in Garland

If you'd like to learn more about dental implants, contact our team at (972) 272-3585 and schedule an evaluation with Dr. Jung. 

Related Services:

Dental Implants
Diana

A great experience every time I go! There’s nothing like going to the Dentist office and knowing the people who work there are so professional, genuine, and kind. They truly love what they do and it reflects in the knowledge, care, and skill they provide in their services. I have a busy schedule and I love that they are able to communicate via email. Scheduling is always easy, and I look forward to continuing my teeth & gum health journey with this team for many many years!

Ready to Book an Appointment?
If you have difficulty using our website, please email us or call us at (972) 272-3585
View the ADA Accessibility Statement